Parodontologie

Die Aufgabe der Parodontologie ist die Prävention, Behandlung und Nachsorge von Zahnbetterkrankungen

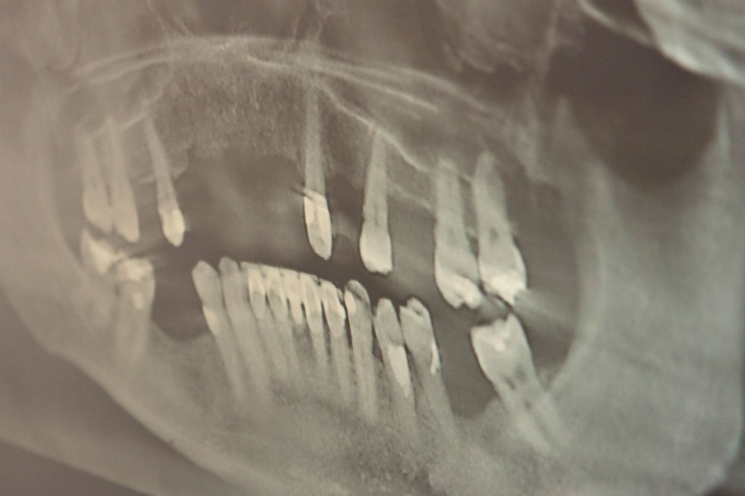
Die Aufgabe der Parodontologie ist die Prävention, Behandlung und Nachsorge von Zahnbetterkrankungen. Häufigste Form einer Zahnbetterkrankung ist die Parodontitis. Hierbei bildet sich der Alveolarknochen zurück, die Zahnfleischtaschen vertiefen sich, die Zahnwurzel findet insgesamt weniger Halt.

Begünstigende Faktoren für die Entstehung einer Parodontitis ist das Vorhandensein von Plaque (Zahnbelag), genetischen Faktoren, Rauchen und Stressfaktoren.

Die Therapie erfolgt durch Instruktion und Anpassung der Mundhygienemittel sowie einer perfekten Entfernung aller harten und weichen Zahnbeläge oberhalb und unterhalb des Zahnfleisches. Das Ziel der Parodontologie ist es, möglichst eine Schrumpfung des Zahnfleisches und den Abbau des Alveolarknochens zu verhindern.

Unsere Taxpunkt-Preise

  • Normaler Preis
    CHF 3.60
  • Kinder und Studenten
    CHF 3.10